للحياة
-
اخبار السعودية
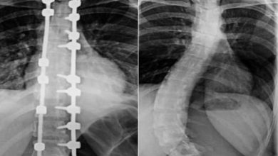
مستشفى الدكتور سليمان الحبيب بالصحافة ينجح في تصحيح ميلان حاد بالعمود الفقري لـ”عشرينية” ويعيدها للحياة الطبيعية
تمكّن فريق طبي في مستشفى الدكتور سليمان الحبيب بالصحافة، من إجراء عملية نوعية ناجحة لتقويم تشوّه متطور بالعمود الفقري لشابة…
أكمل القراءة » -
اخبار الامارات
إنيسمور تعلن عن افتتاح أول منتجع شامل للحياة العصرية في رأس الخيمة ‹ جريدة الوطن
رأس الخيمة – الوطن: يسر إنيسمور، شركة الضيافة العصرية الأسرع نمواً، أن تعلن عن توقيع…
أكمل القراءة » -
تقنية
مانشستر يونايتد عاد للحياة.. ثنائية تنقذ أموريم من الإقالة
تلقى روبن أموريم، مدرب مانشستر يونايتد، دفعة قوية تُبقي على آماله في البقاء بمنصه. وعاد مانشستر يونايتد لطريق الانتصارات،…
أكمل القراءة » -
تقنية
دواء منقذ للحياة ضد سرطان البروستاتا العدواني..لماذا يُحرم المرضى منه؟
أثار أطباء وجمعيات خيرية في بريطانيا انتقادات واسعة ضد هيئة الصحة في إنجلترا بسبب تأخرها في إتاحة دواء أبيراتيرون .…
أكمل القراءة » -
اخبار السعودية
52% من مستخدمي “شات جي بي تي” نساء و70% من الاستخدامات للحياة اليومية
في تحوّل لافت وغير مسبوق، كشفت شركة “أوبن أيه آي” المالكة لروبوت الدردشة “شات جي بي تي”، عن نتائج أول…
أكمل القراءة » -
اخبار السعودية
المركز الوطني للحياة الفطرية ينفي مخالفة تصوير الكائنات ويؤكد: المحتوى المتداول غير دقيق
في توضيح رسمي، نفى المركز الوطني لتنمية الحياة الفطرية ما تم تداوله في مقطع فيديو عبر وسائل التواصل الاجتماعي، والذي…
أكمل القراءة » -
تقنية
إعادة تصور أسلاف البشر.. «لوسي» تعود للحياة افتراضيا (خاص)
تمكن العلماء من إضفاء ملامح وجه على “لوسي”، أشهر أسلاف الإنسان من الرئيسيات، من خلال إعادة رقمية مذهلة تعيدنا إلى…
أكمل القراءة » -
فن
فاروق حسني ينعي رجل الأعمال ميشيل أحد: كان إنسانًا نبيلًا ومحبًا للحياة
نعى وزير الثقافة الأسبق فاروق حسني، رجل الأعمال السكندري المعروف ميشيل أحد، الذي وافته المنية اليوم. وأعرب فاروق حسني عن…
أكمل القراءة »