اخبار السعودية

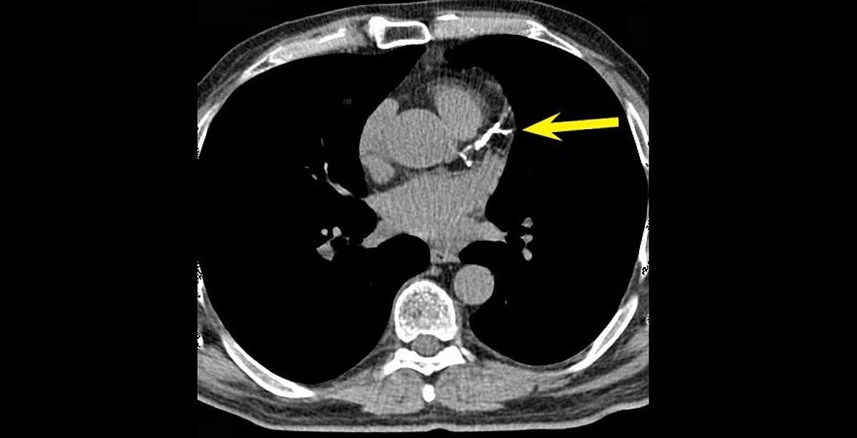
"النمر": تكلّس الشرايين قد يرتفع 25٪ سنويًّا دون خطورة.. واستخدام الأسبرين مشروط بـ3 عوامل

"النمر": تكلّس الشرايين قد يرتفع 25٪ سنويًّا دون خطورة.. واستخدام الأسبرين مشروط بـ3 عوامل

اترك تعليقاً

لن يتم نشر عنوان بريدك الإلكتروني. الحقول الإلزامية مشار إليها بـ *

زر الذهاب إلى الأعلى